PerioQuest

PerioQuest

PerioQuest is a self-assessment test for predisposition to periodontitis for the general population, providing information about it, along with a vídeo demonstrating how to examine the mobility of our teeth.

The PerioQuest test was developed using information from the PerioProject data-base, a predictive model of tooth loss for dental professionals designed to determine periodontal prognosis, predicting what will happen to the teeth of people who have received treatment and come in for a check-up.

What does it mean Perioquest to general population?

The information provided by Perioquest provides the answer to what many patients want to know: whether they are going to lose their teeth.

The traditional way of making a professional prognosis was based on indices to establish various prognosis categories: good, guarded, poor, etc., but its accuracy was quite limited. The guarded prognosis essentially stated that a tooth might be lost or not, without specifying further. In contrast to this category with little meaning, Perioquest's prediction specifies which teeth might be lost and approximately when, achieving a high percentage of accuracy (81.4%). Based on this information, it is possible to make the most accurate decision in each case.

Perioquest represents an objective and reliable alternative for making decisions of enormous relevance, such as extracting all teeth to replace them with implants. Faced with this crucial step, it is logical to have an objective and reliable tool to incorporate alongside the professional's judgment, often limited to personal experience or a preference for a specific treatment.

Could I lose my teeth?

Could I lose my teeth?

Could I lose my teeth?

Periodontal disease

Periodontal disease is one of the most common chronic diseases in humans. The bacteria that accumulate on the gums initially cause a superficial inflammation called gingivitis. If the bacteria penetrate deep below the sulcus, the inflammatory process progressively destroys the tissues that hold the teeth in place. Without treatment, this will ultimately result in tooth loss.

Periodontal disease

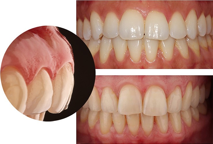
The edge of a healthy gum adapts perfectly to the shape of the tooth, leaving a triangular space between the teeth (the interdental papilla)

Periodontal disease

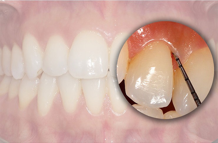
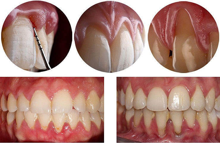
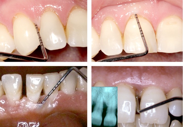
The margin of the gum is slightly separated from the tooth by one or two millimeters, forming the gingival sulcus. Its depth is measured by inserting a periodontal probe. Daily brushing should eliminate the bacteria that accumulate in the sulcus.

Periodontal disease

If the bacteria penetrate the sulcus, the internal epithelium of the gums is destroyed and the disease gradually destroys the tissue that holds the tooth in place.

Periodontal disease

The tissue that supports the tooth is made up of the periodontium, which includes the gums, the tooth root surface (R), the alveolar bone, where the root is embedded (B), and the ligament that joins the root to the bone (L)

Self-test

Self-test

Can I find out whether I have periodontal disease and what chance there is of me losing my teeth? Although only professionals can provide a valid, definitive diagnosis, it is possible to find out the tendency of your disease and estimate the risk of losing teeth in the future.

The PerioQuest self-test is very simple and can provide extremely valuable information. Check the boxes as accurately as possible and the program will estimate the need or urgency for a professional diagnosis and prognosis.

Self-test

Number of teeth

Number of teeth

Age

Age

Tobacco use

Tobacco use

Years of smoking

Years of smoking

Bruxism (grinding of the teeth)

Bruxism (grinding of the teeth)

Periodontal disease

Periodontal disease

Could I lose my teeth?

Tooth mobility

Tooth mobility
Tooth mobility

Tooth mobility

The test to detect tooth mobility is especially important. The video tutorial to examine tooth mobility explains how this is done with the help of another person and using two chopsticks. Your assessment might be much more reliable than you think.

Watch video

The most frequently used method for finding out whether a tooth moves is actually the least reliable: putting your fingers in your mouth, grasping the tooth and trying to move it. The correct method is shown in the video.

Assessment

Assessment

Category 0: Teeth can have minimal, almost imperceptible mobility.

Category 1: If the tooth moves by about one millimeter.

Category 2: If it moves between one and two millimeters.

Category 3: If it moves more than that, or can even be pressed into the gum.

If you detect even the slightest movement, see your dentist.

Categories 2 and 3 may reflect the presence of a serious disease.